クラウンレングスニング

歯周外科手術・クラウンレングスニングについて
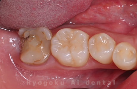
クラウンレングスニングは歯冠長延長術(しかんちょうえんちょうじゅつ)と言います。虫歯であったり、被せ物を外してみて歯の長さが短くなってしまって、歯ぐき中まで及んだ場合や、歯が根元で折れてしまった場合、被せ物の型取りが正確に出来ないだけでなく、被せ物がすぐ取れてしまう原因となってしまいます。
そのため、歯ぐきの中に埋まっている歯を出すために、歯の周りの歯ぐきや支えている骨(歯槽骨)を整える手術となります。
歯は歯ぐきから約2㎜以上出ていることで、被せ物の寿命が長くなります。
埋まっている歯を歯ぐきより上に2㎜以上出すための治療法となります。
クラウンレングスニングの
利点
クラウンレングスニングは主に歯の健康と審美的な改善を目的として行われるもので、特に次のような利点があります。
- 歯の保存
抜歯と診断されても歯を残すことが可能な場合もあります。また、深い虫歯や破折が歯肉縁(歯と歯茎の境界)より下にある場合に、クラウンレングスニングを行うことで、健全な歯の構造を露出させ、被せ物(クラウン)をしっかり装着できるようになります。これによって、歯を抜かずに保存する可能性が高まります。 - 歯の構造の確保
クラウンやブリッジを適切に装着するためには、十分な歯の構造が必要です。クラウンレングスニングは、その必要な歯の構造を確保するサポートをします。
修復物のための適切な土台が確保され、治療の長期的な成功が促進されます。 - 審美的な改善
「ガミースマイル」(笑った時に歯茎が過度に露出する状態)の改善にも使用されます。クラウンレングスニングで歯肉を調整することで、バランスの良いスマイルラインが得られます。 - プラークの蓄積防止
歯茎の下にある虫歯や補綴物は、プラークの蓄積を招くことがあります。クラウンレングスニングによってこれらが処置されることで、歯や歯茎の健康が保たれ、さらなる歯周病のリスクが低減します。 - 歯周組織の健康維持
クラウンレングスニング後は、歯と歯茎の境界が明確になるため、日常のブラッシングやフロッシングがしやすくなり、口腔全体の健康が向上します。
これらの利点は、個々の患者の状況によって異なる場合があります。そのため、クラウンレングスニングをおこなう際には、歯科医師と相談して個人の口腔健康にどのような影響があるかを理解することが重要です。
クラウンレングスニングの
流れ
-
STEP 1
- 歯の状態や歯周病の状態を確認します
-
歯周病の状態はプローブを用いて行い、歯の状態は被せ物を外して確認します。
- プローブは目盛が色分けされており、下から3㎜、6㎜、8㎜、11㎜となっている
-
-
-
STEP 2
- クリーニングとブラッシング指導
- 歯科衛生士と一緒に歯ブラシの仕方を確認し、歯石のお掃除を行います。
-
STEP 3
- 根管治療
- 根っこの治療(根管治療)が必要な場合は行います。(別途費用)
-
-
-
STEP 4
- 歯茎の手術
- お口の中の状態が手術可能な状態になってから、歯茎の手術を行います。
-
-
-
STEP 5
- クラウンレングスニングの終了
- 歯茎の治りを十分に待ってから、被せ物の型取りを行い、終了となります。
-
-
クラウンレングスニングの
症例
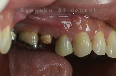
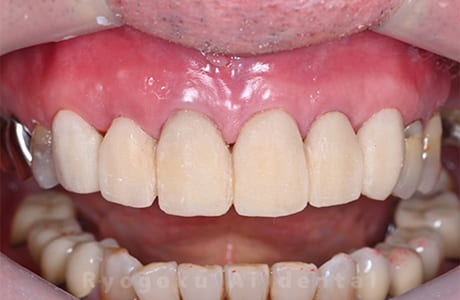
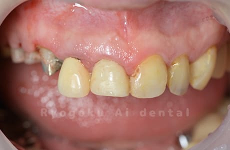
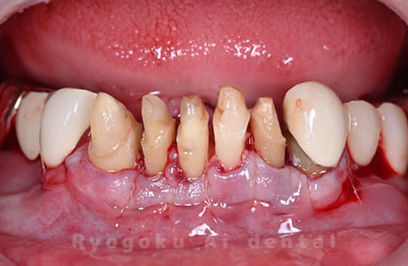
Case01
-
- 原因
- 重度縁下カリエス
-
- 治療期間
- 約4ヶ月(最終補綴物装着まで含む)
-
- 治療内容
- クラウンレングスニング+歯周外科
-
- 治療費用
- 110,000円(最終補綴を除く)
前歯の虫歯が大きく、3前歯部を含む歯周外科・クラウンレングスニングを行った患者様です。
<リスク・副作用>
手術後は痛み、腫れ、痺れ、青あざなどの副作用が生じます。痛みは痛み止めを処方しますが、腫れ、青あざは1週間程度生じる場合があります。また、部位によっては神経の走行が複雑で、痺れが残り、長期的にお薬を処方する場合があります。
Case02
-
- 原因
- 重度縁下カリエス、慢性根尖性歯周炎
-
- 治療期間
- 約3ヶ月(最終補綴装着まで含む)
-
- 治療内容
- クラウンレングスニング+歯周外科+マイクロエンド
-
- 治療費用
- 165,000円(最終補綴を除く)
他院で抜歯を宣告された患者様です。歯の根の治療(マイクロエンド)と歯周外科・クラウンレングスニングを行いました。
<リスク・副作用>
手術後は痛み、腫れ、痺れ、青あざなどの副作用が生じます。痛みは痛み止めを処方しますが、腫れ、青あざは1週間程度生じる場合があります。また、部位によっては神経の走行が複雑で、痺れが残り、長期的にお薬を処方する場合があります。
Case03
-
- 原因
- 重度縁下カリエス
-
- 治療期間
- 約2ヶ月(最終補綴装着まで含む)
-
- 治療内容
- クラウンレングスニング+歯周外科
-
- 治療費用
- 44,000円(最終補綴を除く)
他院で抜歯を宣告された患者様です。虫歯が歯茎の中まで及んでいたため、歯周外科・クラウンレングスニングを行い、保存を行いました。
<リスク・副作用>
手術後は痛み、腫れ、痺れ、青あざなどの副作用が生じます。痛みは痛み止めを処方しますが、腫れ、青あざは1週間程度生じる場合があります。また、部位によっては神経の走行が複雑で、痺れが残り、長期的にお薬を処方する場合があります。
Case04
-
- 原因
- 重度カリエス、C3急化Pul
-
- 治療期間
- 約6ヶ月
-
- 治療内容
- 部分矯正、クラウンレングスニング、セラミッククラウン
-
- 治療費用
- 約350,000円
他院での説明で抜歯した後にインプラント治療を提案された患者さんです。虫歯が大きく、被せるための歯の長さが足りないため、埋まっている歯牙を引っ張り上げ、セラミックで被せたケースです。歯牙の状態も良好で、問題なく経過しています。
<リスク・副作用>
手術後は痛み、腫れ、痺れ、青あざなどの副作用が生じます。痛みは痛み止めを処方しますが、腫れ、青あざは1週間程度生じる場合があります。また、部位によっては神経の走行が複雑で、痺れが残り、長期的にお薬を処方する場合があります。
Case05
-
- 原因
- 虫歯が歯茎の中まで及んでいるケース
-
- 治療期間
- 3回(術後の消毒・洗浄は除く)
-
- 治療内容
- クラウンレングスニング+ダイレクトボンディング
-
- 治療費用
- クラウンレングスニング:44,000円
ダイレクトボンディング:66,000円
合計:110,000円
他院で虫歯が歯茎の中まで及んでおり、抜歯をしてインプラントを勧められ、相談での来院。クラウンレングスニングを行い、歯茎の位置を変え、虫歯をアプローチしやすい環境に変えてから、ダイレクトボンディングで治療を行いました。歯茎の位置が変わり、本来埋まっていた部分の歯が外に出ているため、多少の知覚過敏症状が出ましたが、徐々に寛解し、現在は特に問題もなく、経過も良好で、抜歯や神経の除去を行わずに経過を診ています。
<リスク・副作用>
手術後は痛み、腫れ、痺れ、青あざなどの副作用が生じます。痛みは痛み止めを処方しますが、腫れ、青あざは1週間程度生じる場合があります。また、部位によっては神経の走行が複雑で、痺れが残り、長期的にお薬を処方する場合があります。
Case06
-
- 原因
- 重度カリエス
-
- 治療期間
- 約2ヶ月(最終補綴装着まで含む)
-
- 治療内容
- クラウンレングスニング
-
- 治療費用
- 88,000円(2歯分)
他院で虫歯が大きく、抜歯を宣告された患者様です。歯茎に埋まっているところの虫歯を歯茎の位置を変えるクラウンレングスニングを行い、治療を行いました。痛みもなく、術後も良好です。
<リスク・副作用>
手術後は痛み、腫れ、痺れ、青あざなどの副作用が生じます。痛みは痛み止めを処方しますが、腫れ、青あざは1週間程度生じる場合があります。また、部位によっては神経の走行が複雑で、痺れが残り、長期的にお薬を処方する場合があります。
Case07
-
- 原因
- 重度カリエス
-
- 治療日数
- 約3ヶ月
-
- 治療内容
- クラウンレングスニング、ジルコニアクラウン
-
- 治療費用
- 214,500円
他院で抜歯と診断された患者様です。十分な説明の下、歯を保存するクラウンレングスニングとジルコニアクラウンでの治療を行いました。治療後も問題なく経過しております。
<リスク・副作用>
過度の咬合や衝撃で割れることがあります。手術後は痛み、腫れ、痺れ、青あざなどの副作用が生じます。痛みは痛み止めを処方しますが、腫れ、青あざは1週間程度生じる場合があります。また、部位によっては神経の走行が複雑で、痺れが残り、長期的にお薬を処方する場合があります。
Case08
-
- 原因
- 重度カリエス
-
- 治療日数
- 約半年
-
- 治療内容
- クラウンレングスニング、根管治療、ジルコニアクラウン
-
- 治療費用
- 約1,200,000円
前歯が動くとのことでご来院された患者様です。虫歯が大きく保存困難な状態でしたが、ご本人様と十分話し合い、抜歯を行わず、手術をすることで歯を抜かず保存しました。
<リスク・副作用>
過度の咬合や衝撃で割れることがあります。手術後は痛み、腫れ、痺れ、青あざなどの副作用が生じます。痛みは痛み止めを処方しますが、腫れ、青あざは1週間程度生じる場合があります。また、部位によっては神経の走行が複雑で、痺れが残り、長期的にお薬を処方する場合があります。
Case09
-
- 原因
- 左上6番重度カリエス
-
- 治療内容
- クラウンレングスニング
-
- 治療費用
- 44,000円(根管治療、補綴は別途費用)
他院で抜歯と判断された歯です。クラウンレングスニングを行い、保存を試みました。現在も問題なく被せ物が入り、使用できてます。
<リスク・副作用>
手術後は痛み、腫れ、痺れ、青あざなどの副作用が生じます。痛みは痛み止めを処方しますが、腫れ、青あざは1週間程度生じる場合があります。また、部位によっては神経の走行が複雑で、痺れが残り、長期的にお薬を処方する場合があります。
Case10
-
- 原因
- 重度カリエス
-
- 治療日数
- 10ヶ月
-
- 治療内容
- クラウンレングスニング、ポンティックシールド、セラミッククラウン修復
-
- 治療費用
- 約1,500,000円
前歯の腫れが治らないとのことでご来院された患者様です。虫歯も大きかったですが、手術を行い、歯牙の保存を行いました。現在も問題なく経過しております。
<リスク・副作用>
過度の咬合や衝撃で割れることがあります。手術後は痛み、腫れ、痺れ、青あざなどの副作用が生じます。痛みは痛み止めを処方しますが、腫れ、青あざは1週間程度生じる場合があります。また、部位によっては神経の走行が複雑で、痺れが残り、長期的にお薬を処方する場合があります。
Case11
-
- 原因
- 重度カリエス
-
- 治療内容
- クラウンレングスニング、ジルコニアクラウン治療
-
- 治療費用
- 約450,000円
他院で抜歯と言われ、セカンドオピニオンでご来院された患者様です。根管治療の後、埋まっている歯の歯茎の位置を変更し、白いジルコニアクラウンで治療しました。問題なく経過しています。
<リスク・副作用>
過度の咬合や衝撃で割れることがあります。手術後は痛み、腫れ、痺れ、青あざなどの副作用が生じます。痛みは痛み止めを処方しますが、腫れ、青あざは1週間程度生じる場合があります。また、部位によっては神経の走行が複雑で、痺れが残り、長期的にお薬を処方する場合があります。
Case12
-
- 原因
- 重度カリエス
-
- 治療内容
- クラウンレングスニング
-
- 治療費用
- 110,000円
被せ物を外した際に大きな虫歯があり、虫歯を除去し、土台をたてましたが、患者様と相談し、より被せ物が長く保てるようにクラウンレングスニングの処置を行いました。
<リスク・副作用>
手術後は痛み、腫れ、痺れ、青あざなどの副作用が生じます。痛みは痛み止めを処方しますが、腫れ、青あざは1週間程度生じる場合があります。また、部位によっては神経の走行が複雑で、痺れが残り、長期的にお薬を処方する場合があります。
Case12
-
- 原因
- 縁下カリエス
-
- 治療内容
- クラウンレングスニング、ジルコニアクラウン修復
-
- 治療費用
- 約220,000円
被せ物の中から臭いがするとのことで、被せ物を外したところ大きな虫歯となっていました。このまま被せてしまうと被せ物が外れやすいため、埋まっている歯を出すためのクラウンレングスニング処置を行い、その後、ジルコニアクラウンで被せ物を行いました。
<リスク・副作用>
手術後は痛み、腫れ、痺れ、青あざなどの副作用が生じます。痛みは痛み止めを処方しますが、腫れ、青あざは1週間程度生じる場合があります。また、部位によっては神経の走行が複雑で、痺れが残り、長期的にお薬を処方する場合があります。
Case13
-
- 原因
- 前歯部不良補綴
-
- 治療内容
- APF、ダイレクトボンディング、セラミック補綴、ホワイトニング
-
- 治療費用
- 約350,000円
前歯部の歯茎の色ならびに被せ物をやりかえたいとのことでご来院された患者様です。特に歯茎の色に対して、かなりショックをうけられておりました。歯茎も綺麗に治り、満足していただけました。
<リスク・副作用>
手術後は痛み、腫れ、痺れ、青あざなどの副作用が生じます。痛みは痛み止めを処方しますが、腫れ、青あざは1週間程度生じる場合があります。また、部位によっては神経の走行が複雑で、痺れが残り、長期的にお薬を処方する場合があります。
Case14
-
- 原因
- 重度カリエス
-
- 治療内容
- クラウンレングスニング
-
- 治療費用
- 44,000円(別途被せ物の費用あり)
被せ物が何度も外れてしまう、とのことでご来院された患者様です。埋まっている部分の歯をクラウンレングスニング手術で十分に出しました。今後型取りを行い、被せ物を行います。
<リスク・副作用>
手術後は痛み、腫れ、痺れ、青あざなどの副作用が生じます。痛みは痛み止めを処方しますが、腫れ、青あざは1週間程度生じる場合があります。また、部位によっては神経の走行が複雑で、痺れが残り、長期的にお薬を処方する場合があります。
Case15
-
- 原因
- セラミッククラウン脱離、重度カリエス
-
- 治療内容
- クラウンレングスニング
-
- 治療費用
- 44,000円(別途被せ物の費用あり)
他院で行ったセラミックの被せ物が何度も取れてしまう、とのことでご来院されました。歯茎の中に埋まっている部分の歯を手術で出すことで被せ物が取れにくい環境にしました。今後、セラミックで被せ直しを行います。
<リスク・副作用>
手術後は痛み、腫れ、痺れ、青あざなどの副作用が生じます。痛みは痛み止めを処方しますが、腫れ、青あざは1週間程度生じる場合があります。また、部位によっては神経の走行が複雑で、痺れが残り、長期的にお薬を処方する場合があります。
Case16
-
- 原因
- 重度カリエス
-
- 治療内容
- クラウンレングスニング、ジルコニアクラウン修復
-
- 治療費用
- 約460,000円
重度カリエスにクラウンレングスニングを施しジルコニアクラウンで修復したケースです。
<リスク・副作用>
手術後は痛み、腫れ、痺れ、青あざなどの副作用が生じます。痛みは痛み止めを処方しますが、腫れ、青あざは1週間程度生じる場合があります。また、部位によっては神経の走行が複雑で、痺れが残り、長期的にお薬を処方する場合があります。ジルコニアは過度の咬合や衝撃で割れることがあります。術後は痛み、腫れ、痺れなどの副作用が生じる場合があります。
Case17
-
- 原因
- 重度カリエス
-
- 治療内容
- クラウンレングスニング、ジルコニアクラウン修復
-
- 治療費用
- 209,000円
被せ物がよく外れるとのことでご来院された患者様です。クラウンレングスニングを行い、被せ物の治療を行いました。
<リスク・副作用>
手術後は痛み、腫れ、痺れ、青あざなどの副作用が生じます。痛みは痛み止めを処方しますが、腫れ、青あざは1週間程度生じる場合があります。また、部位によっては神経の走行が複雑で、痺れが残り、長期的にお薬を処方する場合があります。ジルコニアは過度の咬合や衝撃で割れることがあります。術後は痛み、腫れ、痺れなどの副作用が生じる場合があります。
Case18
-

部分矯正クラウンレングスニング正面術前
-

部分矯正クラウンレングスニング正面術中
-

部分矯正クラウンレングスニング正面術中
-

部分矯正クラウンレングスニング正面術後
-

部分矯正 クラウンレングスニング 咬合面術前
-

部分矯正 クラウンレングスニング 咬合面術中
-

部分矯正 クラウンレングスニング 咬合面術後
-

歯根端切除術中
-

歯根端切除術直後
-

歯根端切除術後
-

マイクロエンド術前
-

マイクロエンド術後
-
- 原因
- パーフォレーション、慢性根尖性歯周炎
-
- 治療内容
- マイクロエンド、MTM、クラウンレングスニング、歯根端切除術
-
- 治療費用
- 286,000円
他院で歯の根の中に穴が空いているとのことで抜歯と診断された患者様です。一部穴が空いている部分を修復し、部分矯正を行い、手術を行いました。経過良好で、患者様も満足されています
<リスク・副作用>
手術後は痛み、腫れ、痺れ、青あざなどの副作用が生じます。痛みは痛み止めを処方しますが、腫れ、青あざは1週間程度生じる場合があります。また、部位によっては神経の走行が複雑で、痺れが残り、長期的にお薬を処方する場合があります。
Case19
-

術前
-

術中
-

術後
-

左上犬歯パーフォレーション
-

切開
-

インプラント埋入直後
-

インプラント術後
-

前歯部補綴不適
-

前歯部補綴除去後
-

クラウンレングスニング後
-

術後
-
- 原因
- 左上犬歯パーフォレーション、前歯部補綴不適
-
- 治療内容
- インプラント治療、クラウンレングスニング
-
- 治療費用
- 約1,200,000円
左上の犬歯が治療途中のままで治したいとのことでご来院された患者様です。歯の中に大きな穴が空いており、保存不可能で合ったため、インプラント治療と同時に前歯の被せ物のやり変えをおこなった患者様です。経過良好です。
<リスク・副作用>
手術後は痛み、腫れ、痺れ、青あざなどの副作用が生じます。痛みは痛み止めを処方しますが、腫れ、青あざは1週間程度生じる場合があります。また、部位によっては神経の走行が複雑で、痺れが残り、長期的にお薬を処方する場合があります。
Case20
-
- 原因
- 重度カリエス
-
- 治療内容
- クラウンレングスニング
-
- 治療費用
- 44,000円
他院で抜歯と宣告され、当医院を受診された患者様です。クラウンレングスニングを行い、保存を行いました。経過良好です。
<リスク・副作用>
手術後は痛み、腫れ、痺れ、青あざなどの副作用が生じます。痛みは痛み止めを処方しますが、腫れ、青あざは1週間程度生じる場合があります。また、部位によっては神経の走行が複雑で、痺れが残り、長期的にお薬を処方する場合があります。
Case21
-
- 原因
- 重度カリエス
-
- 治療内容
- クラウンレングスニング
-
- 治療費用
- 44,000円
他院で抜歯と宣告され、当医院を受診された患者様です。クラウンレングスニングを行い、保存を行いました。経過良好です。
<リスク・副作用>
手術後は痛み、腫れ、痺れ、青あざなどの副作用が生じます。痛みは痛み止めを処方しますが、腫れ、青あざは1週間程度生じる場合があります。また、部位によっては神経の走行が複雑で、痺れが残り、長期的にお薬を処方する場合があります。
Case22
-
- 原因
- 重度カリエス
-
- 治療内容
- クラウンレングスニング治療
-
- 治療費用
- 110,000円(別途被せ物)
他院で抜歯を宣告され、当医院で保存希望でご来院された患者様です。クラウンレングスニングを行い、保存しました。大変満足されました。
<リスク・副作用>
手術後は痛み、腫れ、痺れ、青あざなどの副作用が生じます。痛みは痛み止めを処方しますが、腫れ、青あざは1週間程度生じる場合があります。また、部位によっては神経の走行が複雑で、痺れが残り、長期的にお薬を処方する場合があります。
Case23
-
- 原因
- 重度カリエス
-
- 治療内容
- 部分矯正、クラウンレングスニング、ジルコニアセラミッククラウン
-
- 治療費用
- 約242,000円
前歯の被せ物がぐらつく、とのことでご来院された患者様です。被せ物を外すと大きな虫歯となっておりましたが、患者様は保存を希望されたため、部分矯正を行い、埋まっている歯を引っ張り、保存を行いました。被せ物の出来栄えも満足していただき、経過も良好です。
<リスク・副作用>
手術後は痛み、腫れ、痺れ、青あざなどの副作用が生じます。痛みは痛み止めを処方しますが、腫れ、青あざは1週間程度生じる場合があります。また、部位によっては神経の走行が複雑で、痺れが残り、長期的にお薬を処方する場合があります。
Case24
-
- 原因
- クラウン脱離、2次カリエス
-
- 治療内容
- 部分矯正(エクストリュージョン)、クラウンレングスニング
-
- 治療費用
- 99,000円(別途被せ物費用あり)
被せ物が取れて、他院で抜歯と言われ、ご来院された患者様です。部分矯正を行い、埋まっている歯の根を引っ張り、手術を行い、保存を試みました。問題なく経過し、大変ご満足して頂けました。
<リスク・副作用>
手術後は痛み、腫れ、痺れ、青あざなどの副作用が生じます。痛みは痛み止めを処方しますが、腫れ、青あざは1週間程度生じる場合があります。また、部位によっては神経の走行が複雑で、痺れが残り、長期的にお薬を処方する場合があります。
Case25
-
- 原因
- 重度カリエス
-
- 治療内容
- クラウンレングスニング治療
-
- 治療費用
- 44,000円×2
銀歯が取れたとのことでご来院された患者様です。歯の状態が悪いため、予後も考慮し、クラウンレングスニング治療を行い、被せ物の治療を今後行う予定です。
<リスク・副作用>
手術後は痛み、腫れ、痺れ、青あざなどの副作用が生じます。痛みは痛み止めを処方しますが、腫れ、青あざは1週間程度生じる場合があります。また、部位によっては神経の走行が複雑で、痺れが残り、長期的にお薬を処方する場合があります。
Case26
-
- 原因
- 前歯部不良補綴
-
- 治療内容
- クラウンレングスニング治療、セラミック修復治療
-
- 治療費用
- 約1,232,000円
-
- 担当医
- Dr.炭野
前歯を治したいとのことでご来院された患者様です。セラミックの被せ物で治療を行いました。大変満足して頂けました。
<リスク・副作用>
過度の咬合や衝撃で割れることがあります。術後は痛み、腫れ、痺れなどの副作用が生じる場合があります。症状が再発する可能性があります。その場合は抜髄する必要があります。
Case27
-
- 原因
- 重度カリエス、前歯部被せ物脱離
-
- 治療内容
- 前歯部ジルコニアセラミッククラウン修復、クラウンレングスニング
-
- 治療費用
- 約1,300,000円
-
- 担当医
- Dr.炭野
他院で前歯の治療を放置してきており、続きの治療を希望された患者様です。海外への留学もあり、スケジュールを組ませていただき、進めさせて頂きました。大きな問題もなく、被せ物にも非常に満足して頂けました。
<リスク・副作用>
手術後は痛み、腫れ、痺れ、青あざなどの副作用が生じます。痛みは痛み止めを処方しますが、腫れ、青あざは1週間程度生じる場合があります。また、部位によっては神経の走行が複雑で、痺れが残り、長期的にお薬を処方する場合があります。過度の咬合や衝撃で割れることがあります。
Case28
-
- 原因
- 下顎前歯部重度カリエス
-
- 治療内容
- ジルコニアセラミッククラウン修復、クラウンレングスニング治療
-
- 治療費用
- 約1,300,000円(6歯分)
-
- 担当医
- Dr.炭野
下の前歯を綺麗に治療してほしいとのことでご来院された患者様です。手術も行い、一部穴が空いていた部分を手術の際に修復し、セラミック治療を行いました。奥歯も被せ物を今後やりかえる予定です。
<リスク・副作用>
手術後は痛み、腫れ、痺れ、青あざなどの副作用が生じます。痛みは痛み止めを処方しますが、腫れ、青あざは1週間程度生じる場合があります。また、部位によっては神経の走行が複雑で、痺れが残り、長期的にお薬を処方する場合があります。過度の咬合や衝撃で割れることがあります。
Case29
-
- 抜歯原因
- 重度カリエス
-
- 治療内容
- クラウンレングスニング治療
-
- 治療費用
- 44,000円
他院で抜歯と言われた、とのことでご来院された患者さまです。クラウンレングスニングを行い、保存致しました。大変満足して頂けました。
<リスク・副作用>
治療後、痛みや違和感、出血、腫れなどが出る事があります。喫煙者、糖尿病などの方の場合、歯が生着しない場合があります。
Case30
-
- 原因
- C3重度齲蝕
-
- 治療内容
- クラウンレングスニング
ジルコニアクラウン
-
- 治療期間
- 約3か月
-
- 治療費用
- 209,000円
-
- 担当医
- Dr.炭野
前被せ物が取れてしまったとのことで来院されました。歯茎下まで虫歯が進行し、埋まってしまっている状態でした。クラウンレングスニングを行い健康な歯を露出させ、歯、歯肉ともに良いコンディションで被せ物を入れることができました。
<リスク・副作用>
手術後は痛み、腫れ、痺れ、青あざなどの副作用が生じます。痛みは痛み止めを処方しますが、腫れ、青あざは1週間程度生じる場合があります。また、部位によっては神経の走行が複雑で、痺れが残り、長期的にお薬を処方する場合があります。過度の咬合や衝撃で割れることがあります。
クラウンレングスニングの
費用
※費用は税込価格です。
| 歯周外科 | 内容 | 税込価格 |
|---|---|---|
| APF | 1ブロック | ¥110,000 |
| 1歯 | ¥44,000 |
- 被せ物は別途費用が掛かります
- 根の治療(根管治療)が必要な場合は別途費用かかります。
治療上の注意点とリスク・副作用
- 手術後は痛み、腫れ、痺れ、青あざなどの副作用が生じます。痛みは痛み止めを処方しますが、腫れ、青あざは1週間程度生じる場合があります。また、部位によっては神経の走行が複雑で、痺れが残り、長期的にお薬を処方する場合があります。
- 術後、お薬を処方しますが、服用に際してお身体と合わない場合は服用を中止し、担当医師にご報告願います。
- 術後に周りの歯も含めて歯がしみる症状が出る場合があります。その際は神経の処置をご提案する場合もあります。
- 術前術後の歯ブラシによるプラークコントロールは術後の創部の安定に非常に重要です。手術の成功のためにも日々の歯ブラシを頑張ってください。また、ブラッシングに関して分からないことがあれば担当の衛生士までお気軽にご相談ください。
- 何か分からないことがあればお気軽にスタッフ、担当歯科医師にお聞きください。
ウェブ診療予約COUNSELING
患者様とのコミュニケーションを重視し、
エビデンスに基づいた質の高い歯科治療を
おこなうことを心掛けております。
歯が悪くならないように予防をし、
悪くなった歯は可能な限り歯を残すことを
コンセプトに
スタッフ一同で患者様に
寄り添い対応いたしますので、
お気軽にご相談ください。
ACCESS
両国駅、森下駅から徒歩7分
〒130-0026
東京都墨田区両国4-6-3
M.D.Cビル1F
| 診療時間 | 月 | 火 | 水 | 木 | 金 | 土 | 日 | 祝 |
|---|---|---|---|---|---|---|---|---|
| 09:30~13:00 | ○ | ○ | ○ | ○ | ○ | ○ | × | × |
| 14:00~18:30 | ○ | ○ | ○ | ○ | ○ | △ | × | × |
△土曜午後 14:00~17:30
休診日:日曜・祝日
両国Ai歯科クリニックはJR総武線 両国駅東口徒歩7分、都営大江戸線 両国駅A5出口徒歩7分、都営新宿線 森下駅A2出口徒歩7分の場所にある歯科医院です。
土曜診療をしておりますので、お仕事や学校が忙しい患者様にも通院がしやすいので歯のことでお困りでしたらお気軽にご相談下さい。





















































































































































