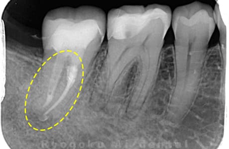
マイクロスコープを使用した根管治療

肉眼で見えない部位まで
感染源を取り除く
マイクロエンドとは顕微鏡(マイクロスコープ)を用いた歯の根の治療のことです。
マイクロスコープを用いることで歯の根の先まで見えるだけでなく、感染源を確実に取り除くことが可能となります。
肉眼では見えない箇所まで
治療するマイクロエンド

根管治療は細かい作業をするケースが非常に多い歯科治療です。
このような時、マイクロスコープを使用することで、肉眼の3倍から20倍程度に拡大して治療ができるため、より正確でより精密に、そして安全に質の高い根管治療を行うことが出来ます。
写真の1,000円札はマイクロスコープを使用して拡大した状態です。
マイクロスコープを使用すると肉眼で確認できない凹凸なども確認しながら治療が可能になります。
マイクロスロープは眼科、心臓外科、脳外科などでも常識のように使われており、アメリカではすでに1998年に歯の根の治療の専門医は、マイクロスコープを使うことが義務づけられています。
歯科治療でもマイクロスコープを使用することで、患者様に質の高い治療をご提供できるので、当院では積極的にマイクロエンドをおこなっております。
当院の最新鋭の
マイクロエンド
マイクロスコープの使用

マイクロエンドとはマイクロスコープを使用した精密な根管治療です。
マイクロスコープは20倍以上拡大でき肉眼では見えない箇所まで見える状態で治療ができるので、精密な根管治療を可能とします。
より良い治療の結果を求めるのであれば、マイクロエンドは必須といえるでしょう。
抜歯を宣告された方はマイクロエンドで歯を残すことができるかもしれません。
CTスキャンによる診断

すべての歯科治療において診査診断は非常に重要です。
CTスキャンによる検査をすることで歯根の状態をしっかり把握し治療計画を立てることができます。
診査診断をしっかりすることで治療の質の向上につながります。
ラバーダムの使用

根管治療では細菌感染には細心の注意を払う必要があります。なぜなら根管内の病巣は細菌感染が原因で悪化するケースがほとんどだからです。
その際にラバーダム(ゴムマスク)という器具を使用します。
ラバーダムは治療をする歯以外をゴムのシートで被うことで治療部位に対しての細菌感染を防ぐ器具です。
ニッケルチタンファイルの使用

通常の保険診療ではステンレスのファイルを使用します。しかし、根管の内は常に真っ直ぐとは限りません。人によって千差万別で不規則に曲がっている場合がほとんどです。
そうした根管の先端まで確実に治療するには、弾性のあるニッケルチタン製のファイルを使う必要があります。
保険診療のステンレス製のファイルは弾力性がないので、曲がった根管内の治療には限界があるのも事実です。
ニッケルチタンファイルを使用することで治療の成功率を向上することができます。
MTAセメントの使用

当院ではマイクロスコープによるMATセメントを用いた断髄治療と根充をおこなっております。
MTAセメントは高い殺菌効果と組織誘導能(骨や組織を再生させる効果)、高い辺縁封鎖性、生体親和性を持ち合わせるセメントです。
このMTAセメントをマイクロスコープを使用して断髄治療や根充に使用することにより、精密で予知性のある根管治療が可能になります。歯を残すことでお悩みの方はあきらめないで一度ご相談下さい。
マイクロエンドの症例
Case01
-

-

根管内の異物
-

-
- 原因
- 根管内異物(ファイル破折)による慢性根尖性歯周炎
-
- 治療期間
- 3ヶ月
-
- 治療内容
- マイクロスコープを使用した根管内異物除去並びにマイクロエンド
-
- 治療費用
- 121,000円(ファイル除去費用も込み)
他院で細い器具(ファイル)が根管内に破折した状態で、咬合痛を主訴に来院された患者様です。ファイルをマイクロスコープ下で除去し、根管治療を行ないました。
<リスク・副作用>
術後は痛み、腫れ、痺れなどの副作用が生じる場合があります。症状が再発する可能性があります。
Case02
-
- 原因
- 慢性根尖性歯周炎
-
- 治療期間
- 3ヶ月
-
- 治療内容
- マイクロエンド
-
- 治療費用
- 121,000円
噛むと痛みが出る、とのことで来院した患者様です。他院での根管治療を終えてましたが、根尖病変を認めるため、マイクロエンドを行いました。
<リスク・副作用>
術後は痛み、腫れ、痺れなどの副作用が生じる場合があります。症状が再発する可能性があります。
Case03
-
- 原因
- 急性化膿性根尖性歯周炎
-
- 治療期間
- 2ヶ月
-
- 治療内容
- マイクロエンド
-
- 治療費用
- 121,000円
黙っていても痛みが出るとのことで来院した患者様です。本治療は症状もあるため、抜髄治療をマイクロエンドで行いました。
<リスク・副作用>
術後は痛み、腫れ、痺れなどの副作用が生じる場合があります。症状が再発する可能性があります。
Case04
-
- 原因
- 慢性根尖性歯周炎
-
- 治療期間
- 3ヶ月
-
- 治療内容
- マイクロエンド
-
- 治療費用
- 121,000円
噛むと痛みが出る、とのことで来院した患者様です。他院での根管治療を終えてましたが、根尖病変を認めるため、マイクロエンドを行いました。
<リスク・副作用>
術後は痛み、腫れ、痺れなどの副作用が生じる場合があります。症状が再発する可能性があります。
Case05
-
- 原因
- 慢性根尖性歯周炎
-
- 治療内容
- マイクロエンド
-
- 治療費用
- 121,000円(被せ物は含まない)
他院ではお薬の交換と抗生剤の処方で経過を診ていた患者さんです。歯茎の腫れが治らないとのことで、根管治療を開始し、2回目のご来院で腫れが引いたケースです。現在は被せ物も入り、良好に経過しております。
<リスク・副作用>
術後は痛み、腫れ、痺れなどの副作用が生じる場合があります。症状が再発する可能性があります。
Case06
-
- 原因
- 慢性根尖性歯周炎
-
- 治療期間
- 2ヶ月
-
- 治療内容
- マイクロエンド
-
- 治療費用
- 121,000円
他院で治療終了で次回から被せ物の型取りを行うと説明された患者さんです。まだ痛みが残っていたためセカンドオピニオンでご来院してくださりました。再度根管治療を行い、痛みを完全に消失したケースです。
<リスク・副作用>
術後は痛み、腫れ、痺れなどの副作用が生じる場合があります。症状が再発する可能性があります。
Case07
-
- 原因
- 慢性根尖性歯周炎(16・17・15部)
-
- 治療内容
- マイクロエンド(3歯分)
-
- 治療費用
- 308,000円(3歯分)※被せ物を除く
右上の違和感が取れないとのことで来院された患者さんです。ファイルという器具が歯の根の中で折れていることを説明し、マイクロスコープを使用した根管治療を提案し、治療を行いました。折れたファイルも取り除くことができ、現在の経過は良好です。
<リスク・副作用>
術後は痛み、腫れ、痺れなどの副作用が生じる場合があります。症状が再発する可能性があります。
Case08
-
- 原因
- 慢性根尖性歯周炎
-
- 治療内容
- マイクロエンド
-
- 治療費用
- 121,000円
左下が腫れているとのことで来院された患者さんです。根の先に病気を作っているため、マイクロスコープを使用した治療を提案し、進めていきました。現在も経過良好です。
<リスク・副作用>
術後は痛み、腫れ、痺れなどの副作用が生じる場合があります。症状が再発する可能性があります。
Case09
-
- 原因
- 重度カリエス
-
- 治療期間
- 2回
-
- 治療内容
- マイクロエンド(抜髄治療)
-
- 治療費用
- 66,000円
痛みが取れないとのことでご来院された患者様です。治療内容、治療方法を十分に相談し、マイクロエンドを選択され、治療を行いました。大きな問題もなく経過しております。
<リスク・副作用>
術後は痛み、腫れ、痺れなどの副作用が生じる場合があります。症状が再発する可能性があります。
Case10
-
- 原因
- 慢性根尖性歯周炎並びに重度歯周病の併発
-
- 治療期間
- 約半年
-
- 治療内容
- マイクロエンド並びに歯周再生療法
-
- 治療費用
- 約298,000円
左下の違和感が消えず、数医院を周り、抜歯と判断され、治療を断られた患者様です。十分な説明の下、根管治療並びに歯周再生療法の話をし、同意を得て、行いました。術後経過も良好で、抜歯をせずに歯を残すことができました。
<リスク・副作用>
術後は痛み、腫れ、痺れなどの副作用が生じる場合があります。症状が再発する可能性があります。
Case11
-
- 原因
- 慢性根尖性歯周炎
-
- 治療内容
- マイクロエンド
-
- 治療費用
- 77,000円(被せ物は含まない)
前歯が痛いとのことでご来院された患者様です。マイクロスコープ、MTAを用いて、緊密に根管充填を行い、現在、痛みもなく経過は良好です。
<リスク・副作用>
術後は痛み、腫れ、痺れなどの副作用が生じる場合があります。症状が再発する可能性があります。
Case12
-
- 原因
- 慢性根尖性歯周炎
-
- 治療内容
- マイクロエンド
-
- 治療費用
- 121,000円(被せ物は含まない)
他院ではお薬の処方と経過観察のみで、歯茎の腫れが治らず、ご来院された患者様です。腫れも引き、問題なく経過してます。
<リスク・副作用>
術後は痛み、腫れ、痺れなどの副作用が生じる場合があります。症状が再発する可能性があります。
Case13
-
- 原因
- 慢性根尖性歯周炎
-
- 治療内容
- マイクロエンド
-
- 治療費用
- 121,000円
他院で治療後、腫れが治らないとのことでご来院された患者様です。マイクロスコープを使用した根管治療にて、治療を行い、腫れがひき、現在も再発なく経過しております。
<リスク・副作用>
術後は痛み、腫れ、痺れなどの副作用が生じる場合があります。症状が再発する可能性があります。
Case14
-
- 原因
- 右上6番慢性根尖性歯周炎、右上5番重度カリエス
-
- 治療内容
- 16マイクロエンド治療、15断髄治療
-
- 治療費用
- 121,000円(マイクロエンド)、77,000円(断髄治療)
風邪を引いた時に右上が痛む時があるとのことでご来院された患者様です。神経を残せる歯は断髄治療を行い、感染が起こっている歯は根管治療を行いました。
<リスク・副作用>
術後は痛み、腫れ、痺れなどの副作用が生じる場合があります。症状が再発する可能性があります。
Case15
-
- 原因
- 急性化膿性歯髄炎
-
- 治療内容
- マイクロエンド治療
-
- 治療費用
- 122,000円(被せ物は別途費用)
-
- 担当医
- Dr. 炭野
右下が腫れてた、とのことでご来院された患者様です。歯髄の炎症から歯周ポケットも深くなっておりましたが、顕微鏡下での治療で根管治療を行い、歯周ポケットも改善し、問題なく経過しております。
<リスク・副作用>
術後は痛み、腫れ、痺れなどの副作用が生じる場合があります。症状が再発する可能性があります。
Case16
-
- 原因
- 重度カリエス
-
- 治療内容
- マイクロエンド
-
- 治療費用
- 77,000円(被せ物の費用は別途)
-
- 担当医
- Dr. 炭野
歯が欠けたとのことでご来院された患者様です。神経まで虫歯が及んでいたため、神経を除去し、治療を行いました。経過良好です。
<リスク・副作用>
術後は痛み、腫れ、痺れなどの副作用が生じる場合があります。症状が再発する可能性があります。
Case17
-
- 原因
- 重度カリエス
-
- 治療内容
- マイクロエンド
-
- 治療費用
- 99,000円
-
- 担当医
- Dr. 炭野
虫歯が大きく、神経の保存ができなかったため、マイクロエンド治療を行いました。
<リスク・副作用>
術後は痛み、腫れ、痺れなどの副作用が生じる場合があります。症状が再発する可能性があります。
Case18
-
- 原因
- 重度カリエス
-
- 治療内容
- マイクロエンド
-
- 治療費用
- 77,000円
-
- 担当医
- Dr. 炭野
虫歯が大きく、神経の保存ができなかったため、マイクロエンド治療を行いました。
<リスク・副作用>
術後は痛み、腫れ、痺れなどの副作用が生じる場合があります。症状が再発する可能性があります。
Case19
-
- 原因
- 重度カリエス
-
- 治療内容
- 抜髄治療、マイクロエンド
-
- 治療費用
- 99,000円
-
- 担当医
- Dr. 炭野
虫歯が大きく、神経の保存ができなかったため、マイクロエンド治療を行いました。
<リスク・副作用>
術後は痛み、腫れ、痺れなどの副作用が生じる場合があります。症状が再発する可能性があります。
Case20
-
- 原因
- 重度カリエス
-
- 治療内容
- 抜髄治療、マイクロエンド
-
- 治療費用
- 99,000円
-
- 担当医
- Dr. 炭野
虫歯が大きく、神経の保存ができなかったため、マイクロエンド治療を行いました。
<リスク・副作用>
術後は痛み、腫れ、痺れなどの副作用が生じる場合があります。症状が再発する可能性があります。
Case21
-
- 原因
- 慢性根尖性歯周炎
-
- 治療内容
- マイクロエンド
-
- 治療費用
- 77,000円(被せ物は含まない)
歯茎の腫れが治らないとのことでご来院された患者様です。約3回の治療で終わり、再発もなく経過良好です。
<リスク・副作用>
術後は痛み、腫れ、痺れなどの副作用が生じる場合があります。症状が再発する可能性があります。
Case22
-

根充断面1
-

根充断面2
-

根充断面3
-
- 原因
- 急性歯髄炎
-
- 治療内容
- マイクロエンド治療
-
- 治療費用
- 99,000円
-
- 担当医
- Dr. 炭野
急性歯髄炎の患者様に、マイクロエンド治療を行いました。
<リスク・副作用>
術後は痛み、腫れ、痺れなどの副作用が生じる場合があります。症状が再発する可能性があります。
Case23
-
- 原因
- 慢性根尖性歯周炎
-
- 治療内容
- マイクロエンド
-
- 治療費用
- 121,000円
他院で抜歯を診断され、セカンドオピニオンで来院された患者様です。根管治療を行い、サイナストラクト(フィステル)が消失しました。今後、被せ物の治療を行なっていきます。
<リスク・副作用>
術後は痛み、腫れ、痺れなどの副作用が生じる場合があります。症状が再発する可能性があります。
Case24
-
- 原因
- 慢性根尖性歯周炎、根管内ファイル破折
-
- 治療内容
- マイクロエンド
-
- 治療費用
- 242,000円
-
- 担当医
- Dr. 炭野
右下奥歯が痛いとのことでご来院されました。マイクロエンド治療を行い、根管内に破折したファイルを除去も行いました。経過良好です。
<リスク・副作用>
術後は痛み、腫れ、痺れなどの副作用が生じる場合があります。症状が再発する可能性があります。
Case25
-
- 原因
- 失活歯
-
- 治療内容
- ブリーチング
-
- 治療費用
- 264,000円(2歯分、ダイレクトボンディング費用は含まない)
前歯の色が気になるとのことでご来院された患者様です。根管治療を行なった後、ブリーチングを行いました。今後、プラスチック部分の変色を治療する予定です。
<リスク・副作用>
治療中もしくは治療後に急に痛みが出る場合があります。感染が強い場合には痛みが激しいことがありますので、その際は痛み止め、抗生剤を処方する場合があります。
また、ダイレクトボンディングは強い衝撃などにより欠けたりすることがある。経年的に劣化(変色)してくる可能性がある。
Case26
-

部分矯正クラウンレングスニング正面術前
-

部分矯正クラウンレングスニング正面術中
-

部分矯正クラウンレングスニング正面術中
-

部分矯正クラウンレングスニング正面術後
-

部分矯正 クラウンレングスニング 咬合面術前
-

部分矯正 クラウンレングスニング 咬合面術中
-

部分矯正 クラウンレングスニング 咬合面術後
-

歯根端切除術中
-

歯根端切除術直後
-

歯根端切除術後
-

マイクロエンド術前
-

マイクロエンド術後
-
- 原因
- パーフォレーション、慢性根尖性歯周炎
-
- 治療内容
- マイクロエンド、MTM、クラウンレングスニング、歯根端切除術
-
- 治療費用
- 286,000円
他院で歯の根の中に穴が空いているとのことで抜歯と診断された患者様です。一部穴が空いている部分を修復し、部分矯正を行い、手術を行いました。経過良好で、患者様も満足されています
<リスク・副作用>
手術後は痛み、腫れ、痺れ、青あざなどの副作用が生じます。痛みは痛み止めを処方しますが、腫れ、青あざは1週間程度生じる場合があります。また、部位によっては神経の走行が複雑で、痺れが残り、長期的にお薬を処方する場合があります。
Case27
-
- 原因
- 左上7番重度カリエス、慢性根尖性歯周炎
-
- 治療内容
- クラウンレングスニング、マイクロエンド、ジルコニアクラウン
-
- 治療費用
- 44,000円+121,000円+165,000円
-
- 担当医
- Dr. 炭野
歯が割れたとのことでご来院された患者様です。現在も問題なく経過しております。
<リスク・副作用>
手術後は痛み、腫れ、痺れ、青あざなどの副作用が生じます。痛みは痛み止めを処方しますが、腫れ、青あざは1週間程度生じる場合があります。また、部位によっては神経の走行が複雑で、痺れが残り、長期的にお薬を処方する場合があります。
Case28
-
- 原因
- 慢性根尖性歯周炎
-
- 治療内容
- マイクロエンド治療
-
- 治療費用
- 121,000円
-
- 担当医
- Dr. 炭野
左下が噛むと痛いとのことでご来院された患者様です。マイクロエンド治療で行いました。
<リスク・副作用>
手術後は痛み、腫れ、痺れ、青あざなどの副作用が生じます。痛みは痛み止めを処方しますが、腫れ、青あざは1週間程度生じる場合があります。また、部位によっては神経の走行が複雑で、痺れが残り、長期的にお薬を処方する場合があります。
Case29
-
- 原因
- 慢性根尖性歯周炎
-
- 治療内容
- マイクロエンド治療
-
- 治療費用
- 121,000円(別途被せ物費用発生)
-
- 担当医
- Dr. 炭野
右下が噛むと痛いとのことでご来院された患者様です。マイクロエンド治療を行いました。
<リスク・副作用>
術後は痛み、腫れ、痺れなどの副作用が生じる場合があります。症状が再発する可能性があります。
Case30
-
- 原因
- 左下6番C3急性化膿性歯髄炎
-
- 治療内容
- マイクロエンド(抜髄)
-
- 治療費用
- 99,000円
他院で虫歯治療を行ったが、痛みが引かないとのことでご来院された患者様です。神経の生活反応がなく、痛みの症状が強いため、神経の保存をおこなわず、完全に神経を取り除く抜髄治療をマイクロスコープを使用し、行いました。
<リスク・副作用>
術後は痛み、腫れ、痺れなどの副作用が生じる場合があります。症状が再発する可能性があります。
Case31
-
- 原因
- 重度カリエス
-
- 治療内容
- マイクロエンド(抜髄)
-
- 治療費用
- 99,000円(補綴含まず)
左下が痛いとのことでご来院された患者さませです。歯髄検査並びに症状を加味し、抜髄治療をマイクロスコープ下で行いました。
<リスク・副作用>
術後は痛み、腫れ、痺れなどの副作用が生じる場合があります。症状が再発する可能性があります。
Case32
-
- 原因
- 左上5番慢性根尖性歯周炎、左上6番急性化膿性根尖性歯周炎
-
- 治療内容
- マイクロエンド治療、ジルコニアクラウン治療
-
- 治療費用
- 約540,000円
-
- 担当医
- Dr. 炭野
左上の奥歯が痛いとのこでご来院された患者様です。マイクロスコープを使用し、ジルコニアクラウンで治療をおこないました。経過良好です。
<リスク・副作用>
術後は痛み、腫れ、痺れなどの副作用が生じる場合があります。症状が再発する可能性があります。
Case33
-
- 原因
- 慢性根尖性歯周炎
-
- 治療内容
- マイクロエンド治療、ジルコニア補綴
-
- 治療費用
- 297,000円
左上の奥歯に違和感があるとのことでご来院された患者様です。マイクロスコープ下にて治療を行い、ジルコニア補綴を行いました。大変満足されております。
<リスク・副作用>
過度の咬合や衝撃で割れることがあります。術後は痛み、腫れ、痺れなどの副作用が生じる場合があります。症状が再発する可能性があります。その場合は抜髄する必要があります。
Case34
-
- 原因
- 右上6番パーフォレーション
-
- 治療内容
- マイクロエンド治療(パーフォレーションリペア)、ゴールドクラウン修復
-
- 治療費用
- 297,000円
右上奥歯を他院で抜歯と言われ、残して欲しいとのことでご来院された患者様です。穴が空いている部分をMTAでリペアを行い、再度マイクロスコープ下で根管治療を行い、ゴールドクラウンで修復しました。経過も良好で、大変満足して頂けました。
<リスク・副作用>
術後は痛み、腫れ、痺れなどの副作用が生じる場合があります。症状が再発する可能性があります。
Case35
-
- 原因
- 重度カリエス、不良補綴物、慢性根尖性歯周炎
-
- 治療内容
- マイクロエンド治療、セラミッククラウン修復
-
- 治療費用
- マイクロエンド治療121,000円
セラミッククラウン修復122,000円×2
仮歯11,000円×2
奥歯の銀歯が取れたとのことでご来院された患者様です。一番奥歯には根尖病変があり、奥から2番目は大きな虫歯があったため、奥歯はマイクロエンド治療からスタートし、セラミッククラウンを2本被せました。大変満足していただけました。
<リスク・副作用>
術後は痛み、腫れ、痺れなどの副作用が生じる場合があります。症状が再発する可能性があります。
Case36
-
- 原因
- 重度カリエス
-
- 治療内容
- マイクロエンド治療
-
- 治療費用
- 99,000円
-
- 担当医
- Dr. 炭野
他院で行った虫歯治療後、痛みが取れないとのことでご来院された患者様です。マイクロエンド治療を希望され、行いました。経過良好です。
<リスク・副作用>
術後は痛み、腫れ、痺れなどの副作用が生じる場合があります。症状が再発する可能性があります。
マイクロエンドの費用
※費用は税込価格です。
| 種類 | 内容 | 税込価格 |
|---|---|---|
| 感染根管処置 | 前歯部 | ¥77,000 |
| 小臼歯部 | ¥99,000 | |
| 大臼歯部 | ¥121,000 |
| 種類 | 内容 | 税込価格 |
|---|---|---|
| 歯根端切除術 | 前歯部 | ¥77,000 |
| 小臼歯部 | ¥88,000 | |
| 大臼歯部 | ¥110,000 |
| 種類 | 税込価格 |
|---|---|
| マイクロエンド後の歯根端切除術 | ¥44,000(一律) |
| パーフォレーションリペア (1箇所) |
¥55,000 |
| 種類 | 内容 | 税込価格 |
|---|---|---|
| 失活歯のブリーチング | 1歯 | ¥55,000 |
歯や歯髄を残す治療のメニュー
-

- 根管治療
- 歯を残すためには精密な根管治療が必要です。当院では精密な根管治療を得意としております。
-

- 根管治療のリカバリー
- 根管治療の再治療・パーフォレーションの修復をし、歯の残す事を大切にしています。
-

- マイクロエンド
- マイクロエンドとはマイクロスコープを使用した精密な根管治療です。
-

- 歯牙移植
- 親知らずを欠損部位に移植する自家歯牙移植。
-

- 断髄治療
- 断髄治療は感染した一部分の神経をカットすることで、神経を保存する方法です。
-

- MTAを使用した治療
- MTA療法は根管内の無菌化精度の向上と根管の密封により再発リスクの軽減が可能となります。
-

- 歯根端切除
- 歯根端切除は根管治療で治らない根尖病変の治療法です。
-

- 治療費
- 両国Ai歯科クリニックの保険外治療の治療費のページ。
ウェブ診療予約COUNSELING
患者様とのコミュニケーションを重視し、
エビデンスに基づいた質の高い歯科治療を
おこなうことを心掛けております。
歯が悪くならないように予防をし、
悪くなった歯は可能な限り歯を残すことを
コンセプトに
スタッフ一同で患者様に
寄り添い対応いたしますので、
お気軽にご相談ください。
ACCESS
両国駅、森下駅から徒歩7分
〒130-0026
東京都墨田区両国4-6-3
M.D.Cビル1F
| 診療時間 | 月 | 火 | 水 | 木 | 金 | 土 | 日 | 祝 |
|---|---|---|---|---|---|---|---|---|
| 09:30~13:00 | ○ | ○ | ○ | ○ | ○ | ○ | × | × |
| 14:00~18:30 | ○ | ○ | ○ | ○ | ○ | △ | × | × |
△土曜午後 14:00~17:30
休診日:日曜・祝日
両国Ai歯科クリニックはJR総武線 両国駅東口徒歩7分、都営大江戸線 両国駅A5出口徒歩7分、都営新宿線 森下駅A2出口徒歩7分の場所にある歯科医院です。
土曜診療をしておりますので、お仕事や学校が忙しい患者様にも通院がしやすいので歯のことでお困りでしたらお気軽にご相談下さい。





















































































































































