最短1日で白い歯になる
ダイレクトボンディング

ダイレクトボンディングとは、プラスチックとセラミックの混合素材で小さな銀歯や小さな虫歯に対して行う処置です。
残っている歯の量によって、適応が限られており、出来るだけ歯を削る量が最小限で行うことが可能です。
元々の歯の形に形成し白く綺麗な歯を作り上げます。また、最短で1日で治療を終わらせることも可能です。
適応が限られていますので、ダイレクトボンディングができるかどうかはお気軽にお尋ねください。
審美性があり削る箇所を
最小限に抑える治療

ダイレクトボンディングに使用するレジンは保険治療で使用するレジンよりも高品質で審美性が高いものになります。
さまざまな色調のレジンを少しずつ塗り重ねて形成しますので、自然な歯の色に近い美しい色合いに仕上げることができます。
また、ダイレクトボンディングは削る箇所を最小限に抑える治療なので、MI(ミニマムインターベション)治療のひとつ言えます。
ダイレクトボンディングの
メリット
- 削る量が最小限で済む
- 治療回数が1回で終わる
- セラミックやジルコニアに比べて治療費が安い
- 色や形の再現度が高く、自然な仕上がりが期待できる
- 破損しても修理がしやすい
ダイレクトボンディングの
症例
Case01
-
- 原因
- メタルインレー 2次カリエス
-
- 治療回数
- 2回
-
- 治療内容
- 臼歯部のセラミックインレーとダイレクトボンディング
-
- 治療費用
- 143,000円
銀歯を白い材料に変更希望のため、費用と歯牙の状況を考慮し、セラミックインレーとダイレクトボンディングで治療を行いました。
<リスク・副作用>
強い衝撃などにより欠けたりすることがある。
経年的に劣化(変色)してくる可能性がある。
Case02
-
- 原因
- メタルインレー 2次カリエス
-
- 治療回数
- 1回
-
- 治療内容
- ダイレクトボンディング
-
- 治療費用
- 66,000円
銀歯を白い材料に変更希望のため、1回での治療法で行いました。
<リスク・副作用>
強い衝撃などにより欠けたりすることがある。
経年的に劣化(変色)してくる可能性がある。
Case03
-
- 原因
- 前歯部CR 2次カリエス
-
- 治療回数
- 1回
-
- 治療内容
- ダイレクトボンディング
-
- 治療費用
- 66,000円
保険の白い詰め物の変色を治療してほしいとのことで、自費の材料を使用し、治療を行いました。
<リスク・副作用>
強い衝撃などにより欠けたりすることがある。
経年的に劣化(変色)してくる可能性がある。
Case04
-
- 原因
- 前歯部欠損
-
- 治療回数
- 1回
-
- 治療内容
- ダイレクトボンディング
-
- 治療費用
- 110,000円
他院でインプラント治療を勧められ、他の治療選択について相談を受けた患者様です。本来ならば、インプラント治療の方が良い旨を説明しましたが、外科手術を希望しなかったため、また、1回の治療を希望されたため行いました。
<リスク・副作用>
強い衝撃などにより欠けたりすることがある。
経年的に劣化(変色)してくる可能性がある。
Case05
-
- 原因
- 正中離開
-
- 治療内容
- ダイレクトボンディング
-
- 治療費用
- 66,000円
前歯の隙間を治したいとのことで来院された患者様です。矯正治療についても説明いたしましたが、できるだけ回数を少なくしたいとのことで、ダイレクトボンディングを当日行いました。
<リスク・副作用>
強い衝撃などにより欠けたりすることがある。
経年的に劣化(変色)してくる可能性がある。
Case06
-
- 原因
- アマルガム充填不適合、CR充填不適合
-
- 治療内容
- ダイレクトボンディング
-
- 治療費用
- 132,000円(2歯分)
右下の奥歯の金属に引っ掛かりがある、黒い点が気になるとのことでご来院された患者様です。虫歯を綺麗に除去し、一回法のダイレクトボンディングを行いました。
<リスク・副作用>
強い衝撃などにより欠けたりすることがある。
経年的に劣化(変色)してくる可能性がある。
Case07
-
- 原因
- C3
-
- 治療内容
- ダイレクトボンディング
-
- 治療費用
- 66,000円
前歯が黒くて気になるとのことで来院された患者様です。1回で終わるダイレクトボンディングで治療を行いました。
<リスク・副作用>
強い衝撃などにより欠けたりすることがある。
経年的に劣化(変色)してくる可能性がある。
Case08
-
- 原因
- 失活による歯牙変色
-
- 治療内容
- ブリーチング+マイクロエンド+ダイレクトボンディング
-
- 治療費用
- 198,000円(ブリーチング55,000円+マイクロエンド77,000円+ダイレクトボンディング66,000円)
前歯が黒いのが気になるとのことでご来院された患者様です。根の状態も悪かったためマイクロスコープ下で根管治療を行い、ブリーチングの後にダイレクトボンディングで形態修正を行いました。
<リスク・副作用>
治療中もしくは治療後に急に痛みが出る場合があります。感染が強い場合には痛みが激しいことがありますので、その際は痛み止め、抗生剤を処方する場合があります。
また、ダイレクトボンディングは強い衝撃などにより欠けたりすることがある。経年的に劣化(変色)してくる可能性がある。
Case09
-
- 原因
- 失活による歯牙変色
-
- 治療内容
- ブリーチング+マイクロエンド+ダイレクトボンディング+ホワイトニング
-
- 治療費用
- 231,000円(ブリーチング55,000円+マイクロエンド77,000円+ダイレクトボンディング66,000円+ホワイトニング33,000円)
結婚式前に前歯を綺麗にしたいとのことでご来院された患者様です。根の状態も悪かったためマイクロスコープ下で根管治療を行い、ブリーチングの後にダイレクトボンディングで形態修正を行いました。
<リスク・副作用>
治療中もしくは治療後に急に痛みが出る場合があります。感染が強い場合には痛みが激しいことがありますので、その際は痛み止め、抗生剤を処方する場合があります。
また、ダイレクトボンディングは強い衝撃などにより欠けたりすることがある。経年的に劣化(変色)してくる可能性がある。
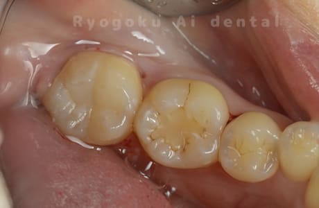
Case10
-
- 原因
- インレー2次カリエス
-
- 治療日数
- 1日
-
- 治療内容
- ダイレクトボンディング
-
- 治療費用
- 66,000円×2=132,000円
銀歯の中が虫歯になっており、ダイレクトボンディングで1日で治療終了した症例です。
<リスク・副作用>
ダイレクトボンディングは強い衝撃などにより欠けたりすることがある。経年的に劣化(変色)してくる可能性がある。
Case11
-
- 原因
- インレー不適
-
- 治療日数
- 3回
-
- 治療内容
- ダイレクトボンディング、セラミックインレー
-
- 治療費用
- 143,000円
銀歯を白くしたいとのことでご来院された患者様です。セラミックインレーとダイレクトボンディングを組み合わせて治療させて頂きました。仕上がりも満足して頂き、経過も良好です。
<リスク・副作用>
過度の咬合や衝撃で割れることがあります。
また、ダイレクトボンディングは強い衝撃などにより欠けたりすることがある。経年的に劣化(変色)してくる可能性がある。
Case12
-
- 原因
- インレー不適
-
- 治療回数
- 1回
-
- 治療内容
- ダイレクトボンディング
-
- 治療費用
- 66,000円
銀歯を白くしたいとのことでご来院された患者様です。1回の治療日数で行いました。
<リスク・副作用>
強い衝撃などにより欠けたりすることがある。
経年的に劣化(変色)してくる可能性がある。
Case13
-
- 原因
- 前歯の隙間
-
- 治療内容
- ダイレクトボンディング
-
- 治療費用
- 66,000円
前歯の隙間を埋めて欲しいとのことでご来院された患者様です。矯正治療では時間がかかるとのことで、1日で終わるダイレクトボンディングを行いました。
<リスク・副作用>
治療中もしくは治療後に急に痛みが出る場合があります。感染が強い場合には痛みが激しいことがありますので、その際は痛み止め、抗生剤を処方する場合があります。
また、ダイレクトボンディングは強い衝撃などにより欠けたりすることがある。経年的に劣化(変色)してくる可能性がある。
Case14
-
- 原因
- CR破折
-
- 治療内容
- 14ダイレクトボンディング、15セラミックインレー
-
- 治療費用
- 66,000円+77,000円
プラスチックの材料で治療した歯が割れてしまったため、セラミックの材料とダイレクトボンディングでの修復で治療しました。
<リスク・副作用>
治療中もしくは治療後に急に痛みが出る場合があります。感染が強い場合には痛みが激しいことがありますので、その際は痛み止め、抗生剤を処方する場合があります。
また、ダイレクトボンディングは強い衝撃などにより欠けたりすることがある。経年的に劣化(変色)してくる可能性がある。
Case15
-
- 原因
- インレー2次カリエス
-
- 治療内容
- 左上6番→ダイレクトボンディング
左上7番→セラミックインレー
-
- 治療費用
- ダイレクトボンディング66,000円
セラミックインレー77,000円
奥歯の銀歯を白くしたいとのことでご来院された患者様です。経過良好です。
<リスク・副作用>
治療中もしくは治療後に急に痛みが出る場合があります。感染が強い場合には痛みが激しいことがありますので、その際は痛み止め、抗生剤を処方する場合があります。
また、ダイレクトボンディングは強い衝撃などにより欠けたりすることがある。経年的に劣化(変色)してくる可能性がある。
Case16
-
- 原因
- 虫歯を治したい
-
- 治療日数
- 1回
-
- 治療内容
- ダイレクトボンディング
-
- 治療費用
- 132,000円
虫歯を治したいとのことでご来院された患者様です。むし歯治療をしダイレクトボンディングで修復したケースです
<リスク・副作用>
過度の咬合や衝撃で割れることがあります。
また、ダイレクトボンディングは強い衝撃などにより欠けたりすることがある。経年的に劣化(変色)してくる可能性がある。
Case17
-
- 原因
- 上顎前歯の形成
-
- 治療内容
- ダイレクトボンディング
-
- 治療費用
- 132,000円
-
- 担当医
- Dr 炭野
上顎前歯の形をダイレクトボンディングで形成したケースです。
<リスク・副作用>
治療中もしくは治療後に急に痛みが出る場合があります。感染が強い場合には痛みが激しいことがありますので、その際は痛み止め、抗生剤を処方する場合があります。
また、ダイレクトボンディングは強い衝撃などにより欠けたりすることがある。経年的に劣化(変色)してくる可能性がある。
Case18
-
- 原因
- 前歯部不良補綴
-
- 治療内容
- APF、ダイレクトボンディング、セラミック補綴、ホワイトニング
-
- 治療費用
- 約350,000円
前歯部の歯茎の色ならびに被せ物をやりかえたいとのことでご来院された患者様です。特に歯茎の色に対して、かなりショックをうけられておりました。歯茎も綺麗に治り、満足していただけました。
<リスク・副作用>
手術後は痛み、腫れ、痺れ、青あざなどの副作用が生じます。痛みは痛み止めを処方しますが、腫れ、青あざは1週間程度生じる場合があります。また、部位によっては神経の走行が複雑で、痺れが残り、長期的にお薬を処方する場合があります。
Case19
-
- 原因
- セラミックインレー破折、メタルインレー不適合
-
- 治療内容
- ダイレクトボンディング、セラミックインレー修復
-
- 治療費用
- 220,000円(セラミックインレー2歯分、ダイレクボンディング1歯分)
他院で行ったセラミックインレーの破折とメタルインレーの脱離、並びに、メタルインレーのやり変えを主訴にご来院された患者様です。ダイレクトボンディングとセラミックインーにて治療を行いました。
<リスク・副作用>
治療中もしくは治療後に急に痛みが出る場合があります。感染が強い場合には痛みが激しいことがありますので、その際は痛み止め、抗生剤を処方する場合があります。
また、ダイレクトボンディングは強い衝撃などにより欠けたりすることがある。経年的に劣化(変色)してくる可能性がある。セラミックインレーは過度の咬合や衝撃で割れることがあります。術後は痛み、腫れ、痺れなどの副作用が生じる場合があります。
Case20
-
- 原因
- 左上1番歯牙破折
-
- 治療内容
- ダイレクトボンディング
-
- 治療費用
- 66,000円
左上の前歯の破折を主訴でご来院された患者様です。右上の被せ物のやりかえを希望されなかったため、ダイレクトボンディングで治療を終えました。非常に満足されており、経過も良好です。
<リスク・副作用>
治療中もしくは治療後に急に痛みが出る場合があります。感染が強い場合には痛みが激しいことがありますので、その際は痛み止め、抗生剤を処方する場合があります。
また、ダイレクトボンディングは強い衝撃などにより欠けたりすることがある。経年的に劣化(変色)してくる可能性がある。
Case21
-
- 原因
- インレー脱離
-
- 治療回数
- 1回
-
- 治療内容
- ダイレクトボンディング
-
- 治療費用
- 66,000円
銀歯が取れてしまったとのことでご来院された患者様です。一回の治療法である、ダイレクトボンディング治療で行いました。患者様も満足されております。
<リスク・副作用>
過度の咬合や衝撃で割れることがあります。
また、ダイレクトボンディングは強い衝撃などにより欠けたりすることがある。経年的に劣化(変色)してくる可能性がある。
Case22
-
- 原因
- CR破折
-
- 治療内容
- ダイレクトボンディング
-
- 治療費用
- 66,000円円
奥歯が欠けたとのことでご来院された患者様です。ダイレクトボンディングで治療を行いました。
<リスク・副作用>
過度の咬合や衝撃で割れることがあります。
また、ダイレクトボンディングは強い衝撃などにより欠けたりすることがある。経年的に劣化(変色)してくる可能性がある。
Case23
-
- 原因
- インレー2次カリエス
-
- 治療内容
- ダイレクトボンディング
-
- 治療費用
- 66,000円円
銀歯を白くしたいとのことでご来院された患者様です。ダイレクトボンディングで即日治療を行いました。
<リスク・副作用>
過度の咬合や衝撃で割れることがあります。
また、ダイレクトボンディングは強い衝撃などにより欠けたりすることがある。経年的に劣化(変色)してくる可能性がある。
Case24
-
- 原因
- 正中離開
-
- 治療内容
- ダイレクトボンディング
-
- 治療費用
- 132,000円
前歯の隙間を治したいとのことでご来院された患者様です。ダイレクトボンディグを行い、治療しました。大変満足していただけました。
<リスク・副作用>
治療中もしくは治療後に急に痛みが出る場合があります。感染が強い場合には痛みが激しいことがありますので、その際は痛み止め、抗生剤を処方する場合があります。
また、ダイレクトボンディングは強い衝撃などにより欠けたりすることがある。経年的に劣化(変色)してくる可能性がある。
Case25
-
- 原因
- インレー2次カリエス
-
- 治療内容
- ダイレクトボンディング
-
- 治療費用
- 66,000円円
銀歯を白くしたいとのこでご来院された患者様です。ダイレクトボンディングで1日で治療を終えました。経過良好です。
<リスク・副作用>
過度の咬合や衝撃で割れることがあります。
また、ダイレクトボンディングは強い衝撃などにより欠けたりすることがある。経年的に劣化(変色)してくる可能性がある。
詰め物・被せ物の費用
※費用は税込価格です。
| 種類 | 税込価格 |
|---|---|
| フルジルコニア | ¥165,000 |
| ジルコニアセラミック(前歯) | ¥176,000 |
| TEC | ¥11,000 |
| E-maxクラウン・アンレー | ¥122,000 |
| ゴールドクラウン | ¥165,000 |
| E-maxインレー | ¥77,000 |
| ゴールドインレー | ¥99,000 |
| ダイレクトボンディング | ¥66,000 |
| 前歯のダイレクトボンディング | ¥132,000 |
治療上の注意点とリスク・副作用
- 治療中もしくは治療後に急に痛みが出る場合があります。感染が強い場合には痛みが激しいことがありますので、その際は痛み止め、抗生剤を処方する場合があります。
- ダイレクトボンディングは強い衝撃などにより欠けたりすることがある。経年的に劣化(変色)してくる可能性がある。
歯を白く美しくするのメニュー
-

- セラミック治療
- 身体に優しく、見た目も白く綺麗なメタルフリー治療のご紹介。
-

- 前歯のセラミック補綴治療
- 前歯のセラミック補綴治療で笑顔を取り戻しませんか?
-

- ダイレクトボンディング
- 歯の削る量が少ないことと、歯にかなり近い色を再現できるダイレクトボンディング。
-

- ホワイトニング
- ホワイトニングで歯を白くして印象をアップしませんか?
-

- 失活歯のブリーチング
- ホワイトニングで歯を白くして印象をアップしませんか?
-

- ガミースマイル改善治療
- ガミースマイルでお悩みの方はお気軽にご相談ください。
-

- 治療費
- 両国Ai歯科クリニックの保険外治療の治療費のページ。
ウェブ診療予約COUNSELING
患者様とのコミュニケーションを重視し、
エビデンスに基づいた質の高い歯科治療を
おこなうことを心掛けております。
歯が悪くならないように予防をし、
悪くなった歯は可能な限り歯を残すことを
コンセプトに
スタッフ一同で患者様に
寄り添い対応いたしますので、
お気軽にご相談ください。
ACCESS
両国駅、森下駅から徒歩7分
〒130-0026
東京都墨田区両国4-6-3
M.D.Cビル1F
| 診療時間 | 月 | 火 | 水 | 木 | 金 | 土 | 日 | 祝 |
|---|---|---|---|---|---|---|---|---|
| 09:30~13:00 | ○ | ○ | ○ | ○ | ○ | ○ | × | × |
| 14:00~18:30 | ○ | ○ | ○ | ○ | ○ | △ | × | × |
△土曜午後 14:00~17:30
休診日:日曜・祝日
両国Ai歯科クリニックはJR総武線 両国駅東口徒歩7分、都営大江戸線 両国駅A5出口徒歩7分、都営新宿線 森下駅A2出口徒歩7分の場所にある歯科医院です。
土曜診療をしておりますので、お仕事や学校が忙しい患者様にも通院がしやすいので歯のことでお困りでしたらお気軽にご相談下さい。



































































